Quality Control - McIntosh-Lab/tvb-ukbb GitHub Wiki
The QC reports allow users to quickly inspect pipeline intermediates and outputs. A detailed manual QC of a single subject without the QC report previously took our experienced raters (DS, KS) up to 30 mins to complete, but a subject assessed with the QC report now takes an average of ~ 5 mins. Here we briefly outline our QC procedures for aging (Cam-CAN) and neurodegenerative (ADNI3) imaging data and provide some examples of common preprocessing errors detected using the QC reports. We describe the QC procedures in the order that the pipeline processes the data, but in practice we start QC investigations with the final outputs of the pipeline (structural and functional connectivity and functional responses) and work upstream through the QC report to quickly pinpoint the source of errors in processed subjects.
Examination of the structural pipeline includes the raw T1w image and the outputs of T1w brain extraction, segmentation and registration to the MNI template. The reconstructed T1w image is checked for the presence of major motion or other visible artifacts. The T1w brain mask is then inspected and inclusion of dura along the lateral boundaries is noted.
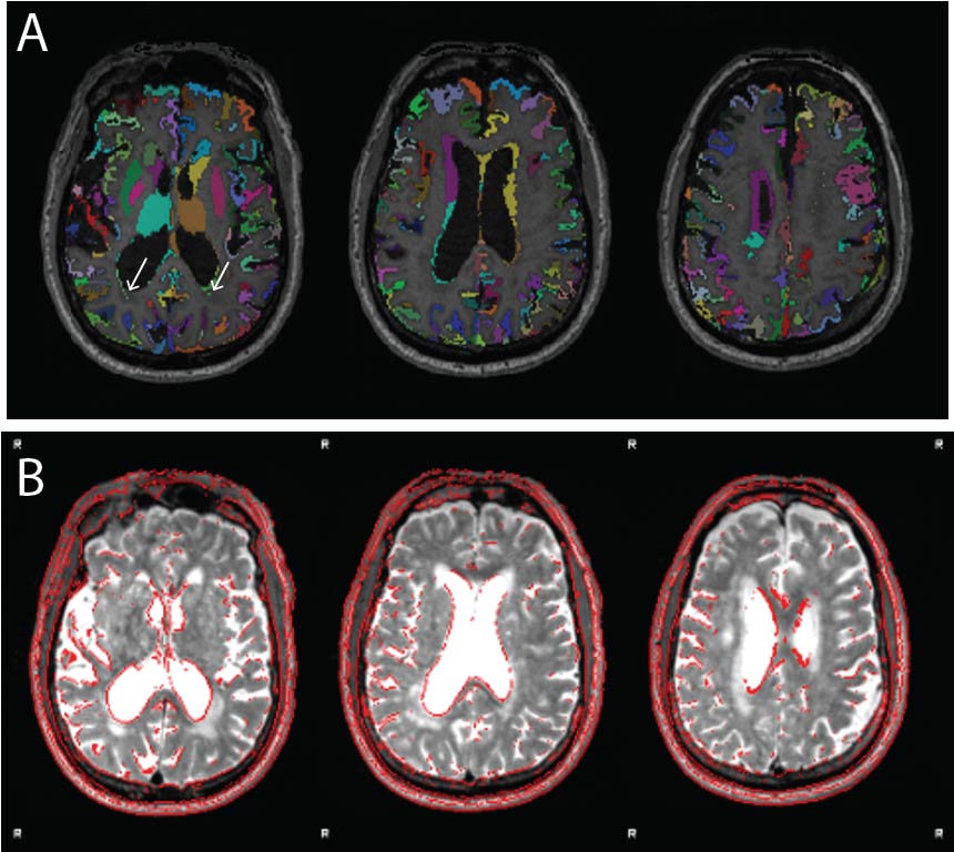
The labelled and unlabelled segmentation outputs are also examined, and the accuracy of tissue classification (especially the delineation of grey and white matter) is assessed. Misclassification of non-brain tissue (i.e., inclusion in grey and white matter segmentations) is also noted. For older adults in the Cam-CAN sample (≥50 years), we also checked if white matter lesions were misclassified as grey matter during segmentation. This was supported by also inspecting the T2* image in conjunction with the T1w. Figure 7 shows an example of white matter lesions being classified as grey matter. In cases with high WML loads, this will be impossible to avoid, and QC involves deciding to what extent the misclassification impacts tractography, namely the placement of seed and target ROIs, which will be covered below. Finally, the registrations of the structural images to the MNI template are also inspected. Poor brain extraction and/or significant brain atrophy can affect the quality of the registration. Since the parcellation is defined on the MNI template, poor registrations can substantially hinder the parcellated downstream outputs from both the functional and diffusion sub-pipelines. Similar procedures are followed for examining T2* images. For T2 FLAIR images, like those in the ADNI3 dataset, lesion classification outputs from BIANCA are also examined.
Figure 7. Example of white matter lesion misclassification as grey matter. (A) The labelled grey matter image is shown on the T1w. (B) T2* image from the same older adult subject indicating a significant volume of white matter lesions that are also notable on the T1w. Although performing segmentation on the T1w image using age-specific tissue priors is largely successful despite the large white matter lesion volume, some misclassification remains (white arrows in panel A). Images reproduced from the example subject’s QC report.
For the purposes of creating modelling inputs for TVB, we focus here on QC of the processing of resting-state fMRI data. For these data, the hyperlinked feat report is used to check the field map registration and correction, the relative motion of the resting-state fMRI scans and their registrations to both the T1w and MNI152 template. Signal dropout in susceptible areas such as the temporal pole or orbitofrontal cortex, if substantial, is also noted. The MELODIC page of the QC report is used to examine the components classified as signal to determine whether substantial artefactual components were included post-processing.
The functional connectivity matrix is visually inspected in the QC report and is checked for the presence of strong homotopic connectivity, clear delineation of intra- and inter-hemispheric quadrants, a sensible range of correlation values and minimal “banding” which can reflect motion artifacts or misregistration of the parcellation. The QC report allows users to examine the matrix in conjunction with a carpet plot of the cleaned ROI time series and the MCFLIRT motion plots to determine whether residual motion artifacts impact the functional connectivity matrix. See Figure 8 for an example of a bad resting-state fMRI processed outcome.
Figure 8. An example of poorly processed resting-state fMRI. (A) Functional connectivity matrix and (B) distribution of functional connectivity show large number of strong positive correlations and a compressed range of correlations. (C) Examination of the carpet plot of region of interest (ROI) time series suggests artefacts remain in fMRI data after cleaning. (D) In the QC Report, motion estimations from MCFLIRT are shown alongside the carpet plots for quick assessment. All images reproduced from the example subject’s QC Report.
The QC procedure for the diffusion sub-pipeline starts with examining the undistorted B0 image to check the quality of distortion correction and the presence of major artifacts. The brain mask calculated from the distortion corrected B0 is also checked as it is used to exclude non-brain tissue from downstream diffusion processing. Brain masks that are too conservative are noted as they can impact registration and placement of ROIs for tractography. The principle orientations of the modelled fibres are also inspected to confirm that the b-vectors have been specified appropriately. It is usually necessary to check the orientations for a single representative subject per study, but in the case of multi-site studies the user may wish to check representative subjects from each site. The registration between the reference B0 image and the T1w is also examined.
Next, the inputs for tractography are examined. These include the grey matter exclusion mask, and the seed and target ROIs that are overlaid on the FA image in the QC report. Each of these images are checked for accuracy of their placement. The border of the brain is also inspected and seeds that are mislocalized to dura or other non-brain tissue is noted (see Figure 9 for example of poor quality tractography seed placement). With atrophic cases, poor T1-MNI template registration can impact the quality of the tractography within the brain and those with a large white matter lesion load will have lesions labelled as grey matter which can cause similar issues.
Figure 9. Example of poor quality tractography seed/target placement. The seeds/targets image (blue) as well as the exclusion mask image (yellow) are overlaid on the FA image. White arrows indicate seeds/targets located in the dura.
Finally, the structural connectivity matrices are examined. This includes the weights matrix, which is displayed with a logarithmic scale to improve visual assessment, and the tract lengths matrix. Visual inspection can be aided by the examination of the distributions of weights and tract lengths. Extreme sparsity of the connectome is easily detected and is often apparent in the interhemispheric quadrants of the matrices (Figure 10).
Figure 10. (A) An example structural connectivity matrix of poorer quality. Note the sparsity, especially in the interhemispheric quadrants (top right and bottom left), which was confirmed by (B) the relatively small distribution of non-zero weights in the matrix. Upon further examination, the dMRI registration to T1w was poor, resulting in some tractography seeds and targets being placed in non-brain tissue. Both images shown are reproduced from the QC Report.



